AORTENCHIRURGIE
Eingriffe an der Aorta (Hauptschlagader) zählen zu den komplexesten Operationen der Erwachsenenherzchirurgie. Operationen betreffen den Bereich der intrathorakalen Aorta, also Abschnitte die innerhalb des Brustkorbes liegen. Jene Abschnitte, die außerhalb des Thorax liegen, vor allem die Carotis (Halsschlagader) und die abdominelle Aorta (Bauchschlagader/ unterhalb des Zwerchfells) werden bei pathologischen (krankhaften) Veränderungen fast ausschließlich von Gefäßchirurgen operativ saniert. Dem Laien mag unverständlich erscheinen, warum ein Gefäßabschnitt von Herzchirurgen, der andere - oft nur wenige Zentimeter höher oder tiefer gelegen - von Gefäßspezialisten betreut und chirurgisch saniert wird: für Eingriffe an der zentralen Hauptschlagader, also im wesentlichen innerhalb des Brustkorbes ist der Einsatz der Herz-Lungen-Maschine (HLM) unabdingbar und dieses Perfusionsgerät mit dem dafür speziell geschulten Personal (Kardiotechniker, Perfusionisten) ist ausschließlich in Herzchirurgischen Kliniken verfügbar.
Viele dieser komplexen Eingriffe müssen in tiefer Hyporthermie oder sogar im Kreislaufstillstand durchgeführt werden, der Patient daher während der Operation an der HLM gekühlt werden.
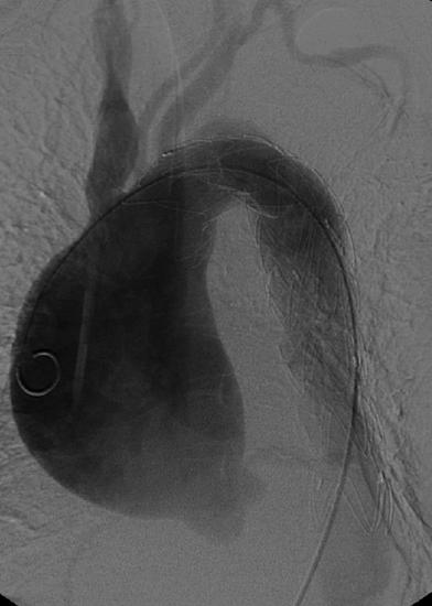
Die Aortenchirurgie behandelt überwiegend Aneurysmen (Erweiterungen der Hauptschlagader) sowie Dissektionen (Einrisse in die Wand der Hauptschlagader) (Abb. 1.). Durch Schädigung der elastischen Anteile einer Gefäßschicht (Media) kommt es zur chronischen Ausweitung und Schwächung der Schlagader. Diese Ausweitung kann unterschiedliche Formen (sackartig, birnenförmig etc., Abb.1.) haben. Ab einem gewissen Durchmesser (je nach zugrunde liegender Erkrankung bei ca. ±5cm) sollte eine operative Sanierung durchgeführt werden, da ansonsten die Ruptur des Gefäßes droht. Durch die Ausdehnung des Gefäßes beim Aneurysma kommt es zu einer Ausdünnung der Aortenwand und zum überproportionalen Anwachsen der Wandspannung, somit zur massiven Schwächung der Gefäßwand. Bei Blutdruckanstieg zerreißt die Aorta, eine in den meisten Fällen tödliche Komplikation.
Eine Sonderform ist die akute Aortendissektion, hier zerreissen nicht aller Schichten der Hauptschlagader sondern es kommt „nur“ zu einem Einriß in die Media und konsekutiv zur meist longitudinalen Aufstpaltung des Gefäßes (oft über weitere Entfernungen, z.B. bis in die Beingefäße). Dies ist ein lebensbedrohliches Zustandsbild, in der Schmerzsymptomatik nicht unähnlich einem akuten Herzinfarkt und erfordert die sofortige operative Sanierung, d.h. diese Patienten wedren ohne Zeitaufschub akut chirurgisch behandelt.
Erweiterungen der Hauptschlagader werden mittels Prothesen saniert, d.h. das Aneurysma mit seiner ausgedünnten, rupturgefährdeten Wand wird resesziert und gegen eine Prothese ersetzt (Abb. 2.). Diese gibt es in unterschiedlichsten Ausführungen (z.B. Dacronvelourprothesen), Durchmessern, Längen etc.
Ist zum Beispiel die Hauptschlagader unmittelbar nach Abgang aus dem Herzen erweitert (Aorta ascendens Aneurysma) und die dort befindliche Herzklappe (Aortenklappe) mitbeteiligt (im Sinne einer Degeneration und Insuffizienz) kann diese inkompetente Klappe und die veränderte Hauptschlagader mittels klappentragende Prothese (klappentragendes Conduit - Betall OP) saniert werden.
Detailliertere Beschreibungen einzelner Operationen an der Hauptschlagader – vor allem im Aortenbogen – würde den Rahmen dieses Informationsmediums bei weitem sprengen und können daher nur anhand individueller Befunde dem Patienten genauer expliziert werden.
Bei allen Erweiterungen der Hauptschlagader ist die präoperative medikamentöse Einstellung wichtig (zur Vermeidung von Blutdruckspitzen), der richtige Operationszeitpunkt und eine chronische postoperative Nachbetreuung. Viele Patienten sind daher vor einer Aneurysma-OP oft schon länger in Kontrolle und die Expansionstendenz ihres Aneurysmas mittels Computertomographie dokumentiert worden.
Schließlich sollte der Vollständigkeit halber auch erwähnt werden, dass in den letzten Jahren zunehmend endovaskuläre, interventionelle Verfahren Eingang in die thorakale Aortenchirurgie gefunden haben, d.h. Prothesen können zur Stabilisierung von Aneurysmen (meist) über die Leistengefäße eingebracht werden und im Bereich der (sackartig) erweiterten Hauptschlagader positioniert und expandiert werden. Sie stabilisieren somit die Schwachstelle, exkludieren die sackartige Erweiterung der Schlagader und reduzieren das Rupturrisiko. Dies kann in einigen Fällen dem Patienten eine aufwändige Operation mit Eröffnung des Brustkorbes ersparen (Abb. 3a. und 3b.). Die Entwicklung dieser implantierbaren Prothesen (Stents) läuft derzeit so stürmisch ab, dass noch nicht absehbar ist, welche Bereiche der Aortenchirurgie und in welchem Ausmaß zukünftig interventionelle Verfahren die etablierte herzchirurgische Aortenchirurgie ersetzen werden.

Abb. 1. Sackartige Ausweitung der aufsteigenden Hauptschlagader (Aorta-Ascendens-Aneurysma, Angiographie)

Abb. 2. Implantation einer Prothese nach Resektion der ausgeweiteten Aorta ascendens.

Abb. 3a. Aneursma der Aorta ascendens (dünne Pfeile) uns nierenförmiges Aneurysma der Aorta descendens (dicke Pfeile)

Abb. 3b . Das Aneurysma der Aorta ascendens wurde operativ mittels Protheseninterposition ssaniert, das der Aorta descendens Interventionell durch Applikation zweier Stents (weisses Gitter), die in die Bauchschlagader hineinragen.