BYPASSOPERATION
Die koronare Herzerkrankung (KHK) verursacht arteriosklerotische Veränderungen (Plaques) an den Coronargefäßen und führt so zu höhergradigen Einengungen, durch die schließlich Minderperfusionen des Herzmuskels resultieren. Der Verschluß eines Herzkranzgefäßes hat demnach einen Herzinfarkt (Myocardinfarkt) zur Folge. Die Ausdehnung und Größe eines Infarktes ist abhängig von der Lokalisation der Engstelle: je größer das betroffene Gefäß, desto ausgedehnter der Infarkt und umso gravierender die Konsequenzen für den Patienten. Das erklärt auch warum es so unterschiedliche klinische Manifestationen eines Myocardinfarktes geben kann: von nahezu Beschwerdefreiheit (Verschluß eines kleinen, trivialen Seitenastes einer Coronararterie) bis hin zum akuten, tödlichen Ereignis (z.B. Hauptstamm-naher Verschluß des Ramus interventricularis anterior oder Verschluß der linken Kranzarterie an ihrem Ursprung).
Die initialen Beschwerden der koronaren Herzerkrankung können heute durch eine breite Palette hochwirksamer Medikamente gut (an)behandelt werden. Kardiologische Katheterinterventionen (Dilatation der Coronarstenosen mit anschließender Stentimplantation) sind bei vielen Betroffenen erfolgreich und ersparen den Patienten die Bypassoperation mit entsprechend längerer Rekonvaleszenz. Durch Änderung des „Lifestyle“ mit Reduktion relevanter Risikofaktoren (siehe unten) und durch Einnahme entsprechender Medikamente könnten viele Patienten nach einem initialen Ereignis (z.B. Katheterintervention nach Infarkt) die weitere Progression ihrer koronaren Herzerkrankung reduzieren oder gar stoppen, sodaß der Krankheitsverlauf günstig beeinflußt wird.
Bei vielen Patienten ist jedoch aufgrund der Coronarmorphologie eine Bypassoperation unumgänglich (zu viele betroffenen Gefäße; Stenosen, die nicht dilatiert werden können …..). Verschiedene Faktoren bewerten die Dringlichkeit der Revaskularisation, d.h. wenn auch der überwiegende Anteil der KHK-Patienten geplant einer Bypassoperation zugeführt werden kann, so gibt es doch auch kritische Einengungen an den Coronarien (z.B. drohender Infarkt, Hauptstammstenose), die eine dringliche oder akute Operation erfordern.
Ziel der Operation ist, jeder höhergradige Stenose an relevanten Coronarästen (Abb.1.) mittels Bypass zu überbrücken, es wird somit über arterielle oder venöse Bypässe in die zuvor minderversorgten Areale wieder ausreichend Blut transportiert (Abb. 2.). Triviale Äste können jedoch wegen ihres kleinen Durchmessers nicht versorgt werden. Der aortocoronare Mehrfachbypass unter Verwendung der Arteria thoracica interna (linke innere Brustarterie) ist heute absoluter Standard an jeder herzchirurgischen Klinik und die häufigste Herzoperation weltweit (Abb.3.).
Es gibt sehr viele unterschiedliche Operationskonzepte für diese Routineoperation, im überwiegenden Teil der Fälle werden Patienten bei der Bypassoperation durch Entnahme von Venen aus dem Bein und unter Verwendung der linken inneren Brustarterie revaskularisiert. Bei jüngeren Patienten können auch ausschließlich arterielle Bypässe angelegt werden.
Diese Operationen werden an der Herz-Lungen-Maschine (HLM) durchgeführt, bei besonderen Risikokonstellationen kann man aber auch am schlagenden Herzen ohne HLM operieren (sogenante Off-pump-CABG). Speziell lokalisierte Stenosen erlauben auch alternative Operationstechniken mit limitiertem Zugang (z.B. MID-CAB) oder roboterunterstützte Bypassoperationen (TE-CAB).
Aufgrund der Schwere der Erkrankung, der Anzahl der Stenosen und Begleiterkrankungen ist eine individuelle Planung der Operation sinnvoll, weiters auch die Aufklärung des Patienten über seine Risikofaktoren und die absolut notwendige Änderung des Lebenstils nach der Herzoperation und Rehabilitation.
Die koronare Herzerkrankung ist eine Alters-, aber vor allem eine Wohlstandserkrankung mit deutlich steigender Inzidenz nicht nur in industrialisierten Ländern. Viele Risikofaktoren (Rauchen, Bluthochdruck, erhöhte Blutfette, Übergewicht, Alterdiabetes, Bewegungsmangel, Stress, etc.) können allein durch Änderung der Lebensweise positiv beeinflußt oder beseitigt werden. Die medikamentöse Behandlung verschiedener Risikofaktoren (z.B. Hypertonus, Hyperlipidämie) ist heute aufgrund vieler unterschiedlicher, v.a. aber nebenwirkungsarmer Medikamente möglich. Um die Progression der Erkrankung zu reduzieren, ist daher die umfassende Aufklärung des Patienten sinnvoll, seine Motivation zur Änderung seines Lebenstils absolut wichtig und eine Betreuung durch Spezialisten (Kardiologen) im Langzeitverlauf entscheidend.
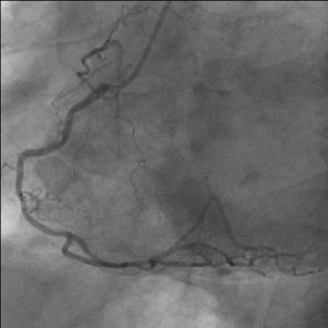
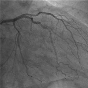
Abb. 1. Darstellung der Herzkranzgefäße mittels Coronarangiographie (rechte und linke Kranzarterie) zur Beurteilung von Engstellen (Stenosen) vor einer allfälligen Intervention.


Abb. 2. Schematische Darstellung eines Dreifachbypass mit Venen auf
drei große Herzkranzgefäße an der Vorder- und Hinterseite des Herzens.

Abb. 3. Intraoperative Aufnahme: Anlage eines Bypass (linke innere Brustarterie - Arteria mammaria int. sin.) auf die die linke Kranzarterie (Ramus interventricularis ant.).
